Endoproteza stawu kolanowego
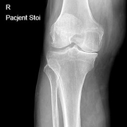
Endoprotezoplastyka stawu kolanowego to skuteczna metoda leczenia zaawansowanej choroby zwyrodnieniowej kolana. Zabieg polega na chirurgicznym usunięciu uszkodzonych powierzchni stawowych i ich zastąpieniu nowoczesnym implantem – całkowitym lub częściowym – który przywraca funkcję stawu, poprawia jego stabilność i eliminuje ból. Leczenie to jest przeznaczone dla pacjentów z silnymi dolegliwościami bólowymi, ograniczeniem ruchomości, sztywnością kolana oraz brakiem efektów leczenia zachowawczego.
Dobór rodzaju implantu zależy od stopnia zaawansowania zmian zwyrodnieniowych i oczekiwań pacjenta. Wszystkie zabiegi przeprowadzam w oparciu o zasady protokołu fast-track surgery – nowoczesnego podejścia, które minimalizuje czas hospitalizacji, przyspiesza rozpoczęcie rehabilitacji i poprawia ogólne wyniki leczenia.
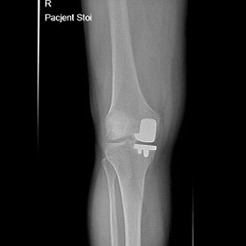
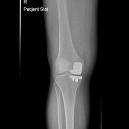
Endoprotezoplastyka kolana wykonywana jest z użyciem wysokiej jakości implantów, które dobieram indywidualnie do budowy anatomicznej pacjenta oraz jego aktywności życiowej. Nowoczesna technika operacyjna umożliwia precyzyjne ustawienie osi kończyny dolnej oraz uzyskanie stabilnego i trwałego efektu leczenia.
Znaczące zmniejszenie lub całkowite ustąpienie bólu
Poprawa zakresu ruchu i funkcji stawu kolanowego
Zwiększenie samodzielności i niezależności ruchowej
Szybki powrót do codziennej aktywności
Możliwość zastosowania protezy jednoprzedziałowej przy mniej zaawansowanych zmianach
Krótki pobyt w szpitalu i sprawna rekonwalescencja
